목차
지주막하출혈은 뇌를 덮고 있는 지주막하 공간에 갑작스러운 출혈이 발생하는 질환으로,
응급상황을 초래할 수 있는 심각한 상태입니다.
주로 뇌혈관의 파열로 인해 발생하며, 적절한 치료가 이루어지지 않으면
생명에 치명적일 수 있기 때문에 정확한 원인과 증상을 알아둘 필요가 있습니다.
응급상황을 대비하여 골든타임은 언제인지와 예후 및 후유증도 자세하게 다뤄보도록 하겠습니다.

지주막하출혈의 주요 원인
지주막하출혈의 원인은 크게 선천적 요인과 후천적 요인으로 나눌 수 있습니다.

1) 선천적 요인
- 뇌동맥류
가장 흔한 원인으로 꼽히는 뇌동맥류는 뇌혈관 벽이 약해져 부풀어 오르는 상태를 말합니다. 압력에 의해 동맥류가 터질 경우, 혈액이 지주막하 공간으로 유입되며 출혈이 발생합니다. - 혈관기형(AVM, Arteriovenous Malformation)
동맥과 정맥이 비정상적으로 연결된 상태로, 혈관 벽이 약하여 출혈 가능성이 높습니다.
2) 후천적 요인
- 외상성 뇌출혈
교통사고, 낙상 등 외부 충격으로 인해 혈관이 파열될 수 있습니다. - 고혈압
고혈압은 혈관벽의 손상을 유발해 뇌출혈의 주요 위험요소로 작용합니다. - 약물 사용 및 기타 원인
항응고제 남용, 약물중독, 심각한 감염 등이 출혈 가능성을 증가시킬 수 있습니다.

지주막하출혈의 대표 증상
1) 갑작스러운 두통
"망치로 얻어맞는 듯한" 극심한 두통이 갑작스럽게 발생하며, 이는 지주막하출혈의 대표적인 초기 증상입니다.
2) 의식 소실 및 혼미
출혈로 인해 뇌압이 급격히 상승하면서 의식이 흐려지거나, 심한 경우 의식불명 상태에 이를 수 있습니다.
3) 구토와 메스꺼움
출혈로 인해 뇌를 자극하면서 구토와 메스꺼움이 동반될 수 있습니다.
4) 신경학적 증상
- 시력 장애: 출혈이 시신경을 압박할 경우 시야 흐림이나 복시가 발생할 수 있습니다.
- 사지 마비: 중증의 경우 한쪽 또는 양쪽 사지의 운동 능력이 저하됩니다.


지주막하출혈의 골든타임
지주막하출혈은 발병 후 3시간 이내가 생존율과 예후를 결정하는 중요한 시점입니다. 출혈량과 뇌부종의 정도에 따라 환자의 상태가 급격히 악화되므로 신속한 진단과 치료가 필수적입니다.
응급 대응법
- 의료기관으로 즉시 이동: 두통과 의식 저하가 동시에 나타날 경우 지체 없이 응급실로 이동해야 합니다.
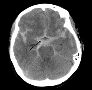
- 정밀 검사: CT(컴퓨터 단층촬영) 및 MRI를 통해 출혈 부위와 정도를 확인합니다.
- 적절한 치료: 외과적 수술(뇌동맥류 클리핑)이나 약물 치료를 통해 출혈을 억제합니다.

지주막하출혈의 예후와 후유증
1) 예후에 영향을 미치는 요소
지주막하출혈 환자의 예후는 초기 상태, 치료의 적시성, 그리고 환자의 나이와 전반적인 건강 상태에 따라 크게 달라집니다.
- 발병 직후 의식 상태: 발병 당시 환자가 의식이 명료할수록 생존율과 회복 가능성이 높습니다.
- 출혈량과 위치: 대량 출혈이거나 주요 혈관 주변에서 발생한 경우 예후가 나빠질 가능성이 큽니다.
- 치료 시기: 골든타임 내에 치료가 이루어지지 않으면 생존율이 급격히 감소합니다.
2) 주요 후유증
지주막하출혈 후유증은 생존 환자에게도 심각한 영향을 미칠 수 있습니다.
- 인지 및 기억 장애: 뇌의 손상으로 인해 단기 기억력 저하나 집중력 문제가 발생할 수 있습니다.
- 신체적 장애: 마비, 운동 능력 저하, 또는 균형감각 상실이 흔합니다.
- 경련 및 뇌전증: 출혈 후 뇌 조직 손상으로 인해 경련이 반복적으로 발생할 수 있습니다.
- 심리적 문제: 우울증, 불안, 또는 외상 후 스트레스 장애(PTSD)가 동반될 수 있습니다.

지주막하출혈 예방 및 관리 방법
1) 뇌동맥류 조기 발견
정기적인 건강검진을 통해 뇌동맥류와 같은 위험 요인을 조기에 발견하고 관리하는 것이 중요합니다.
- MRI 및 CT 검사: 가족력이 있거나 고위험군에 속한 경우 정밀 검사가 권장됩니다.
2) 생활 습관 개선
- 혈압 관리: 고혈압은 지주막하출혈의 주요 원인이므로 규칙적인 운동과 식습관 조정으로 혈압을 안정적으로 유지해야 합니다.
- 금연 및 절주: 흡연과 과도한 음주는 혈관 손상의 주요 원인이므로 이를 줄이는 것이 필요합니다.
- 스트레스 관리: 과도한 스트레스는 혈압을 급격히 상승시켜 혈관 파열 위험을 높일 수 있습니다.
3) 응급 상황 대처법 숙지
가족 구성원이나 본인이 위험 요인을 가진 경우 지주막하출혈 증상이 나타날 때 신속히 대응할 수 있도록 미리 준비하는 것이 중요합니다.

지주막하출혈 관련 골든타임과 응급 처치의 중요성
1) 골든타임 내 빠른 행동의 중요성
지주막하출혈은 발병 후 3시간 이내에 적절한 치료를 받을수록 생존율이 현저히 증가합니다.
- 골든타임을 놓쳤을 때: 뇌손상이 확산되고, 심한 경우 사망에 이를 수 있습니다.
2) 환자 주변인의 역할
응급 상황에서는 환자 주변인의 역할이 매우 중요합니다.
- 증상이 의심될 경우 즉시 119에 연락하거나 가장 가까운 응급실로 이송해야 합니다.
- 환자의 의식 상태를 지속적으로 확인하고, 구토 시 기도 폐쇄를 방지하도록 옆으로 눕혀야 합니다.

결론
지주막하출혈은 예방과 관리가 어려운 만큼,
증상을 조기에 인지하고 골든타임 내 치료받는 것이 가장 중요합니다.
정기적인 건강검진과 올바른 생활 습관을 통해 위험 요인을 줄이고,
응급 상황에 대비한 적절한 대응법을 숙지해야 합니다.
지주막하출혈에 대한 이해와 대비가 생명과 건강을 지키는 열쇠가 될 수 있습니다.
★함께 보면 유용한 글★
당화혈색소 정상수치와 공복혈당 수치의 관계
목차성인이라면 누구나 건강검진을 받게 되는데, 결과를 기다리면서 항상 걱정 되는 수치가 있습니다.고혈압은 아닐까? 콜레스테롤이 높진 않을까? 혹시 공복혈당 수치가 높진 않을까? 걱정하
daonenjoy.com
협심증의 원인 및 증상 :치료 방법
협심증은 심장으로 가는 혈류가 원활하지 않아 가슴 통증을 유발하는 상태입니다.이번 포스팅에서는 협심증의 주요 원인과 증상,그리고 치료 방법에 대해 자세히 알아보겠습니다.협심증이란?
daonenjoy.com
공복혈당 정상수치: 관리하지 않으면 후회합니다.
목차 공복혈당 수치 때문에 고민이신가요? 혈당 관리를 소홀히 하거나 방치하게 되면 건강에 적신호가 켜질 수 있습니다.올바른 식습관과 운동으로 공복혈당 관리에 힘써야 합니다.지금이라
daonenjoy.com
고지혈증 증상 및 수치 : 관리방법 정리
목차 오늘은 고지혈증 증상에 대해 알아보겠습니다.고지혈증은 혈액 속에 지방이 과다하게 존재하는 상태를 말합니다.이러한 상태는 심혈관 질환의 주요 원인 중 하나로 꼽히며,조기에 발견하
daonenjoy.com